ORTODONCIA EN VIGO
Alineadores invisibles, para conseguir la sonrisa perfecta
Consigue la sonrisa que siempre soñaste con nuestros alineadores invisibles Angel Aligner.
Ortodoncistas especializados en Vigo
Con nuestros tratamientos de ortodoncia en Vigo alineamos tu sonrisa con tecnología de última generación y alineadores invisibles, cómodos y removibles. Personalizamos cada tratamiento según tu mordida, estética y rutina diaria, para que mejores tu sonrisa sin dolor, sin urgencias y sin alterar tu estilo de vida.
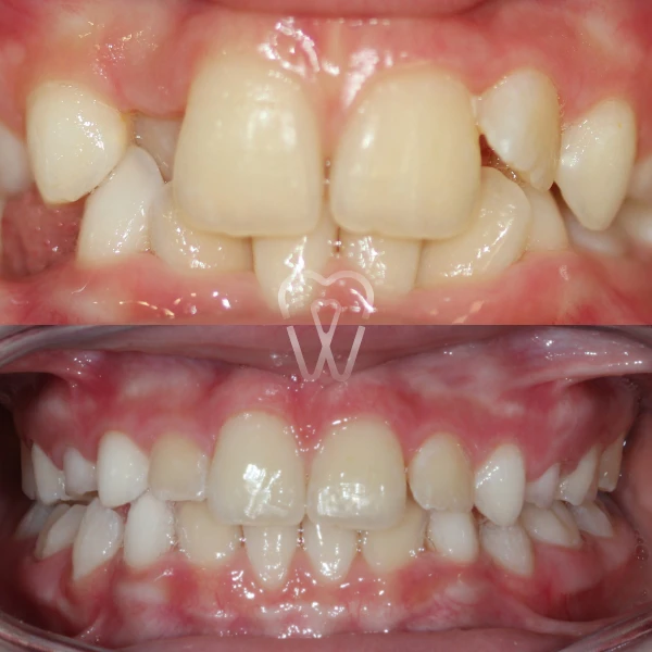
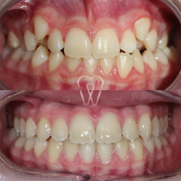
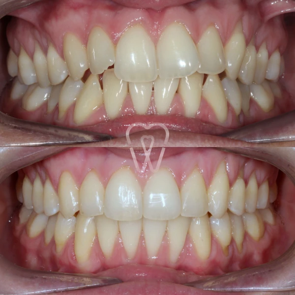
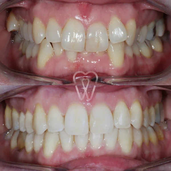
Antes y después de nuestro tratamiento





TRATAMIENTO DE ORTODONCIA PERSONALIZADO EN VIGO
Detectamos a tiempo, actuamos con precisión y conservamos tu sonrisa.
El tratamiento de ortodoncia en Vigo con BASTIDA comienza un estudio diagnóstico completo con simulación digital y valoración de tu caso clínico:
¿Cómo decidimos el tratamiento?
Analizamos tus expectativas y objetivos estéticos
Evaluamos tu mordida, posición dental y posibles molestias articulares
Te explicamos de forma clara cuál es la mejor opción para ti
Siempre verás una simulación previa de cómo se alinearán tus dientes
Aunque lo veremos juntos porque cada caso requiere de un análisis previo, aquí podrás ver algunas de las principales diferencias entre los opciones de ortodoncia posibles:
ORTODONCIA EN VIGO PARA TODA LA FAMILIA
Testimonios
Miles de personas como tú ya disfrutan de una vida sin prótesis incómodas, sin miedo al dolor y con una sonrisa que no tienen que esconder. Nuestro tratamiento de ortodoncia en Vigo consigue que vuelvas a sonreír.
«Los resultados han sido muy buenos, super bien y han sido muy amables»
«Lo recomiendo porque ha sido una experiencia sencilla, fácil y rápida»
«Yo recomiendo a cualquiera que acuda a Clínica Bastida porque son muy profesionales»
Especialistas en ortodoncia en Vigo
¿Por qué realizar el tratamiento de ortodoncia en Vigo con BASTIDA?
Además de ser un tratamiento de estética dental, la ortodoncia mejora la función de tu mordida, previene problemas en la articulación temporomandibular y facilita la higiene. En BASTIDA cuidaremos todo el proceso para recuperar tu mejor sonrisa.
¿Cuál es la diferencia entre alineadores y brackets?
Ambas técnicas ofrecen el mismo resultado. Lo que cambia es la experiencia: los alineadores son removibles, cómodos, sin urgencias ni molestias.
¿Cuánto dura nuestro tratamiento de ortodoncia en Vigo?
El desarrollo temporal de nuestros tratamientos de ortodoncia en Vigo dependen de cada caso. Por eso realizamos un estudio individualizado antes de empezar.
¿Nuestro tratamiento de ortodoncia en Vigo es doloroso?
No. Las molestias iniciales son suaves y temporales. Con alineadores, el tratamiento de ortodoncia en Bastida es especialmente cómodo.
¿Necesitaré retenedores al terminar?
Sí. Para evitar que los dientes vuelvan a su posición anterior, se utilizan retenedores personalizados.
¿Nuestro tratamiento de ortodoncia en Vigo es compatible si tengo implantes o piezas perdidas?
Sí. Aunque lo ideal es hacerla antes de colocar implantes, se puede adaptar el tratamiento a tu caso.
ORTODONCIA EN VIGO PARA TODA LA FAMILIA
Alineamos tu sonrisa, cuidamos tu mordida y te acompañamos en cada paso
En nuestra clínica dental en Vigo tratamos cada sonrisa con una visión integral: estética, funcionalidad y bienestar a largo plazo. Nuestro tratamiento de ortodoncia en Vigo no solo alinea dientes: mejora tu calidad de vida.
¿Por qué vienen nuestros pacientes?
- Por apiñamiento, mordida desalineada o molestias articulares
- Por haber llevado ortodoncia y no estar satisfechos con el resultado tras no aplicar retenedores o medidas preventivas
- Porque quieren mejorar su sonrisa sin renunciar a su estilo de vida
Nuestro enfoque:
- Estudio completo y simulación previa en la primera cita
- Alineadores o brackets según tu caso
- Tratamiento sin dolor, sin urgencias y con control profesional continuo
- Más de 2.000 tratamientos de ortodoncia completados con éxito
Solicita tu revisión y empieza a cuidar tus dientes con nosotros
Fases del tratamiento de ortodoncia en Vigo en
BASTIDA Clínica Dental
Primera visita y diagnóstico: establecer plan de tratamiento.
Toma de registros: escáner 3D, fotos, análisis funcional.
Simulación de tu sonrisa con alineadores (o planificación con brackets)
Inicio del tratamiento
Revisiones cómodas y seguimiento experto
Colocación de retenedores al final.
¿Sigues dándole vueltas? empieza tu transformación dental
El momento ideal para empezar tu tratamiento de ortodoncia en invisible en Vigo es ahora