Especialistas Endodoncia en Vigo

Olvídate del dolor y evita perder tu diente con una sola cita

En Clínica Bastida tratamos los problemas de encías desde el origen. Tu tratamiento de endodoncia en Vigo Diagnóstico inmediato y solución sin dolor para que no se complique.

SOLICITA TU ESTUDIO GRATUITO

Endodoncia en Vigo BASTIDA Clínica Dental

Endodoncia en Vigo

Cuando una caries o una infección llega al nervio del diente, una endodoncia permite tratarlo sin necesidad de extraerlo. En Clínica Bastida realizamos este tratamiento de forma segura, sin dolor y con el objetivo de conservar tu diente natural. Tu tratamiento de endodoncia en Vigo estará en las mejores manos.

Tratamiento de Endodoncia en Vigo

Cuando una caries avanza, el tratamiento de conductos puede salvar tu diente

Una caries extensa que llega al nervio no siempre implica perder el diente. En Bastida Clínica Dental en Vigo valoramos si la pieza puede conservarse mediante una endodoncia (tratamiento de conductos).

Eliminar bacterias y tejido dañado

Evitar infecciones o dolores más graves

Conservar tu diente natural y su función

Restaurar la estética con una reconstrucción posterior

tratamientos endodoncia Vigo Bastida tabla de contenidos

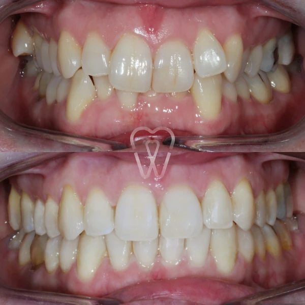
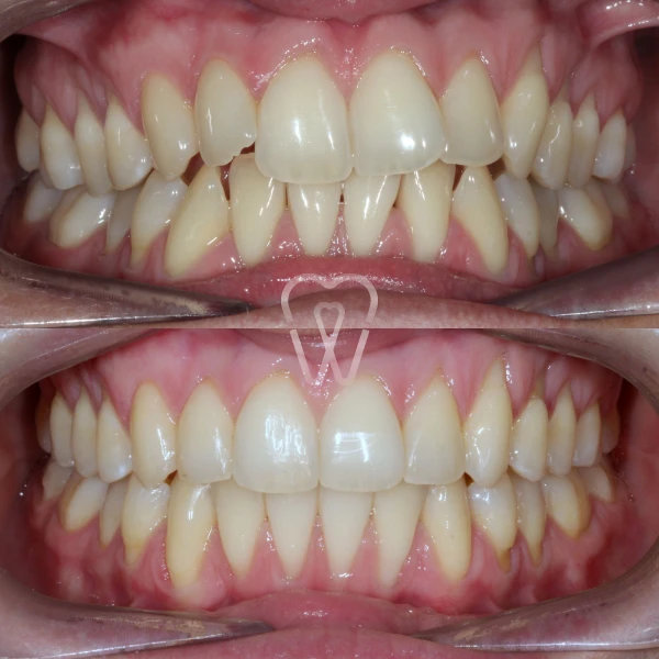
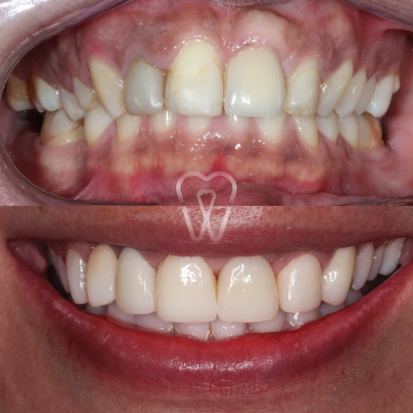
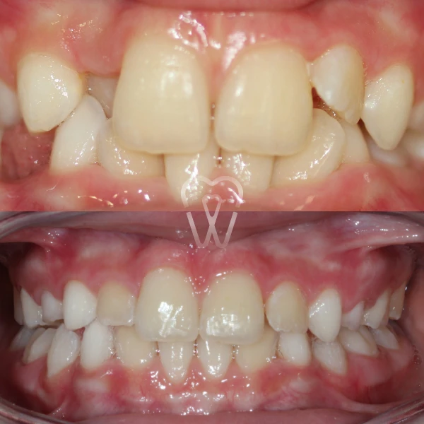
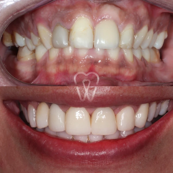
Casos de éxito de nuestro tratamiento de estética dental en Vigo

Testimonios

Miles de personas como tú ya disfrutan de una vida sin prótesis incómodas, sin miedo al dolor y con una sonrisa que no tienen que esconder.

«Los resultados han sido muy buenos, super bien y han sido muy amables»

«Lo recomiendo porque ha sido una experiencia sencilla, fácil y rápida»

«Yo recomiendo a cualquiera que acuda a Clínica Bastida porque son muy profesionales»

FAQs

Preguntas frecuentes sobre nuestro tratamiento de endodoncia en Vigo

No. Todo el tratamiento de endodoncia en Vigo en BASTIDA clínica dental se realiza bajo anestesia local y es completamente indolora durante el procedimiento.

Es normal tener una leve sensibilidad o sensación de “cuerpo extraño” los primeros días, porque el diente ya no tiene vitalidad.

Depende del cuidado posterior: buena higiene, revisiones periódicas y una reconstrucción bien sellada aumentan su duración.

Siempre que se pueda conservar el diente natural, sí. Es la opción más funcional, estética y menos invasiva a largo plazo.

Tratamientos y diagnóstico de endodoncia en Vigo

Tu diente no está perdido: podemos salvarlo con precisión y cuidado

En Bastida Clínica Dental apostamos siempre por conservar tus dientes naturales. La endodoncia es un tratamiento técnico y delicado, pero altamente eficaz cuando se realiza con experiencia, planificación y seguimiento.

¿Por qué confiar en BASTIDA para tu tratamiento de endodoncia en Vigo?

Solicita información sobre el tratamiento de endodoncia en Vigo con BASTIDA sin compromiso

Endodoncia en Vigo BASTIDA Clínica Dental información

Si puedes salvar tu diente, en
Bastida Clínica Dental lo haremos

Te ayudamos a evitar extracciones innecesarias con tratamientos de conductos seguros, indoloros y diseñados para conservar tu sonrisa natural.

ESTUDIO GRATUITO DE ENDODONCIA EN VIGO

LOGOTIPO DE CLINICA BASTIDA
Resumen de privacidad

Esta web utiliza cookies para que podamos ofrecerte la mejor experiencia de usuario posible. La información de las cookies se almacena en tu navegador y realiza funciones tales como reconocerte cuando vuelves a nuestra web o ayudar a nuestro equipo a comprender qué secciones de la web encuentras más interesantes y útiles.